Le stellite dentaire est une prothèse dentaire utilisée pour remplacer une partie manquante de la dent. Il s’agit d’une alternative aux restaurations en plastique ou en céramique, plus couramment utilisées. Le stellite est fabriqué à partir d’un métal précieux, comme l’or ou l’argent, et est conçu pour être solide et durable. Lisez cet article pour en savoir plus sur stellite dentaire.
Pour qui est-il indiqué ?
Le stellite dentaire peut être : utilisé au cas où il n’y a pas suffisamment de dents naturelles pour soutenir une prothèse classique. Lorsque les dents sont trop abîmées pour être : restaurées, vous pouvez aussi faire recours au stellite dentaire. Le stellite dentaire est : également indiqué pour les personnes qui ont perdu la plupart de leurs dents. Il est aussi recommandé aux personnes qui ont du mal à manger ou à parler correctement en raison de leur manque de dentition. Par ailleurs, le stellite dentaire peut également être : utilisé pour remplacer une dent qui a été extraite récemment. Dans certains cas, on y recourt pour maintenir l’intégrité structurelle de l’os maxillaire ou mandibulaire et prévenir la récession osseuse.
A lire en complément : Pourquoi le gel hydroalcoolique reste indispensable en entreprise
De l’autre côté, il peut être une option intéressante pour ceux qui ont du mal à s’adapter à une prothèse amovible ou qui préfèrent une solution plus permanente. Toutefois, discutez avec un professionnel de la santé bucco-dentaire avant de prendre une décision concernant le stellite dentaire. Vous pourrez ainsi vous assurer que cette option est la plus adaptée à vos besoins et à votre état de santé.
Pourquoi opter pour le stellite ?
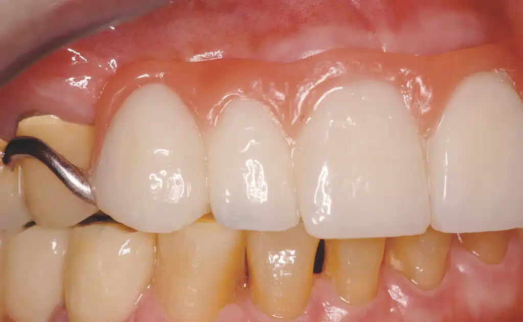
Le stellite dentaire est un type d’obturation dentaire qui présente de nombreux avantages par rapport aux autres types d’obturation. L’un de ces avantages est qu’il peut être : utilisé pour combler de grandes cavités. Un autre avantage est qu’il est de la couleur des dents, ce qui lui permet de s’harmoniser avec vos dents naturelles. Il adhère également bien à l’émail des dents et peut donc durer de nombreuses années sans devoir être : remplacé.
A lire aussi : Mutuelle pour demandeur d’emploi : comment choisir et pourquoi c’est important
En outre, le stellite dentaire est : connu pour être très solide et résistant aux chocs. C’est donc une option particulièrement adaptée aux personnes qui pratiquent des sports ou qui ont des habitudes de mastication intense. De plus, il peut être : facilement modelé et ajusté pour s’adapter parfaitement à la forme de vos dents.

Le stellite dentaire est également très facile à entretenir et à nettoyer. De plus, c’est un choix idéal pour les personnes qui ont du mal à entretenir leurs dents correctement. En effet, il peut être facilement poli et nettoyé avec des produits dentaires courants. Ce qui signifie que le stellite dentaire est moins sujet aux caries et aux autres problèmes dentaires. Enfin, il est généralement moins coûteux que d’autres types d’obturations, ce qui en fait un choix abordable pour de nombreuses personnes. En effet, il peut être une option intéressante pour ceux qui cherchent à réparer leurs dents sans avoir à dépenser une somme importante. Le stellite est biocompatible, c’est-à-dire qu’il n’entraîne pas de réactions allergiques ou de rejet par l’organisme.
Comment se déroule la pose de stellite dentaire ?
Avant de commencer la procédure, le dentiste procède à un examen complet de la bouche. C’est une étape importante pour évaluer l’état de la dent et déterminer la meilleure stratégie de traitement. Si la dent peut être : restaurée, le dentiste commence par préparer la dent. Il enlève toute la carie et lisse les bords de la cavité. Ensuite, il prend une empreinte de la dent à restaurer et envoie cette empreinte à un laboratoire dentaire. Le laboratoire se chargera de créer un stellite sur mesure. Lorsque le stellite est prêt, le dentiste le fixe à la dent avec de la colle dentaire. Il peut être nécessaire de faire plusieurs ajustements. Le dentiste s’assure ainsi que le stellite est : bien ajusté et qu’il s’intègre parfaitement.
La procédure est généralement indolore et peut être effectuée en une seule séance. Cependant, le patient peut ressentir une légère douleur ou des sensations de pression pendant la pose du stellite. En général, la pose de stellite dentaire est une procédure sûre et efficace pour remplacer les dents endommagées. Toutefois, il est important de suivre les instructions du dentiste pour éviter tout dommage ultérieur à la dent.

